PERIODONTOLOGIA

ESPECIALIDADES > MEDICINA DENTÁRIA > PERIODONTOLOGIA

PERIODONTOLOGIA

A Periodontologia é a área da Medicina Dentária que se dedica à prevenção, diagnóstico e tratamento das doenças periodontais.

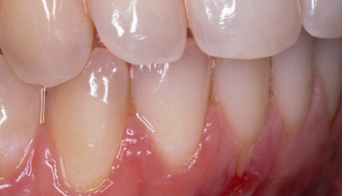
A presença de inflamação, dor e sangramento das gengivas são situações causadas pela presença de placa bacteriana em redor dos dentes. Caso não seja realizado tratamento, e se houver suscetibilidade por parte do paciente, as bactérias vão destruindo os tecidos que suportam os dentes, levando em casos mais graves a eventual perda dos dentes.

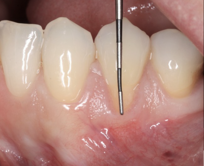
O Tratamento Periodontal visa a descontaminação das bactérias em redor dos dentes assim como da manutenção da saúde dos tecidos ao longo do tempo. Quanto mais rápida for a consulta com a equipa de Periodontologia, mais eficaz será o tratamento.

Esta especialidade também é responsável pela recuperação de recessões gengivais, dependo da situação poderá ser possível reposicionar a gengiva na sua posição natural. No entanto, apenas com um diagnóstico médico é possível identificar o prognóstico da situação.

Equipa de Periodontologia
Marcar Consulta